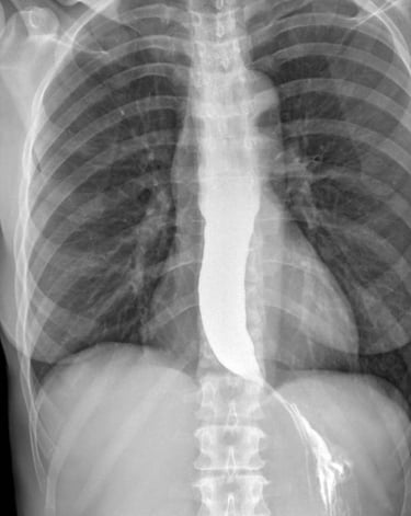
RX transito esofageo
La pH-metria esofagea delle 24 ore è un esame diagnostico che misura l’acidità (pH) nell’esofago per un periodo di 24 ore. È il test più accurato per identificare la presenza, frequenza e durata del reflusso gastroesofageo (GERD), determinando se i sintomi del paziente sono correlati agli episodi di reflusso acido.
In alcuni casi, l'esame può essere associato all’impedenziometria esofagea, che permette di rilevare anche episodi di reflusso non acido (biliare o gassoso).
Indicazioni dell’RX Transito Esofageo
L’RX transito esofageo viene eseguito nei pazienti con sintomi suggestivi di patologie esofagee, tra cui:
✅ Difficoltà nella deglutizione (disfagia)
✅ Sensazione di cibo bloccato in gola o nell’esofago
✅ Reflusso gastroesofageo (GERD) e rigurgito
✅ Episodi di aspirazione polmonare
✅ Odinofagia (dolore alla deglutizione)
✅ Sospetto di ernia iatale
✅ Valutazione preoperatoria per interventi antireflusso
✅ Monitoraggio di malattie neuromuscolari che colpiscono la deglutizione
Viene anche utilizzato per identificare patologie specifiche come:
🔹 Acalasia (disturbo della motilità esofagea con alterata apertura dello sfintere esofageo inferiore).
🔹 Esoftagite peptica o caustica.
🔹 Esoftago di Barrett.
🔹 Strutture o stenosi esofagee (benigne o maligne).
🔹 Diverticoli esofagei, come il diverticolo di Zenker.
Come si Svolge l’Esame?
L’RX transito esofageo viene eseguito in ambiente radiologico e dura circa 15-30 minuti.
🔹 Preparazione del Paziente
Digiuno di almeno 6-8 ore prima dell’esame.
Evitare farmaci che possono alterare la motilità esofagea (previa indicazione medica).
Rimuovere eventuali protesi dentarie mobili.
🔹 Fasi dell’Esame
1️⃣ Assunzione del Mezzo di Contrasto
Il paziente ingerisce un liquido contenente solfato di bario (radiopaco), che riveste le pareti esofagee e permette di visualizzarle ai raggi X.
Nei casi di sospetto di fistole o perforazioni, si utilizza un mezzo di contrasto idrosolubile (Gastrografin) per evitare complicazioni polmonari.
2️⃣ Acquisizione delle Immagini
Il paziente viene posizionato in diverse posture (in piedi, supino, in decubito laterale) per valutare la dinamica della deglutizione e il transito esofageo.
Si eseguono radiografie statiche e fluoroscopia dinamica per osservare il passaggio del contrasto attraverso l’esofago fino allo stomaco.
Il radiologo può chiedere al paziente di deglutire più volte per valutare eventuali anomalie nella progressione del contrasto.
3️⃣ Valutazione del Passaggio del Contrasto
Il medico analizza il tempo di transito del mezzo di contrasto e la presenza di eventuali ostacoli o anomalie della motilità.
Si valuta il tono dello sfintere esofageo inferiore (LES) e l'eventuale reflusso del contrasto verso l’esofago.
Cosa Può Rivelare l’RX Transito Esofageo?
📌 Reflusso gastroesofageo (GERD) → Visualizzazione del contrasto che risale dallo stomaco nell’esofago.
📌 Acalasia → Dilatazione dell’esofago con segno a becco di uccello.
📌 Stenosi esofagea → Restringimenti o aree di ostruzione.
📌 Diverticoli esofagei → Pouch o estroflessioni della parete esofagea.
📌 Ernia iatale → Dislocazione dello stomaco attraverso il diaframma.
📌 Spasmo esofageo diffuso → Contrazioni irregolari e non coordinate dell’esofago.
📌 Fistole esofago-tracheali → Passaggio anomalo del mezzo di contrasto verso le vie aeree.
Limitazioni dell’RX Transito Esofageo
❌ Non fornisce informazioni sulla mucosa → In caso di sospetta esofagite o Barrett, è necessario eseguire una gastroscopia.
❌ Non misura il pH → Per la valutazione del reflusso, si preferisce la pH-metria esofagea.
❌ Non fornisce dati sulla pressione esofagea → La diagnosi di acalasia o disturbi della motilità richiede una manometria esofagea.




Contattami


Se hai domande e curiosità, compila il modulo!
Chirurgia per Tutti
Informazioni su patologie e prenotazioni visite.
Contatti
Scrivimi!
info@chirurgiapertutti.it
+39 3404155536
© 2025. All rights reserved.
