Calcolosi della colecisti
La calcolosi della colecisti, comunemente nota come “calcoli alla cistifellea”, è una patologia caratterizzata dalla formazione di calcoli all’interno della colecisti, un piccolo organo situato sotto il fegato che ha la funzione di immagazzinare e concentrare la bile. Questa condizione può rimanere asintomatica per lungo tempo, ma in alcuni casi può causare sintomi significativi e complicanze che rendono necessario il trattamento chirurgico.






Epidemiologia e Frequenza
I calcoli biliari si formano principalmente a causa di un’alterazione nella composizione della bile, che porta alla precipitazione di colesterolo, bilirubina e sali biliari sotto forma di cristalli. Questi cristalli, nel tempo, possono aggregarsi e formare calcoli di diverse dimensioni.
I principali fattori di rischio includono:
Sesso femminile: le donne sono più predisposte a causa dell’azione degli ormoni estrogeni.
Età avanzata: il rischio aumenta con l’età .
Obesità e sovrappeso: influenzano la composizione della bile.
Diete ricche di grassi e poveri di fibre: favoriscono l’aumento della secrezione di colesterolo nella bile.
Digiuno prolungato: riduce il normale svuotamento della colecisti.
Diabete mellito: aumenta il rischio di calcolosi.
Gravidanza: a causa delle alterazioni ormonali che rallentano lo svuotamento della colecisti.
Uso di contraccettivi orali e terapia ormonale sostitutiva: aumentano la secrezione di colesterolo nella bile.
Sintomi della Calcolosi della Colecisti
Molti pazienti con calcolosi della colecisti sono asintomatici e la scoperta dei calcoli avviene casualmente durante esami diagnostici eseguiti per altri motivi.
Tuttavia, quando i calcoli causano un’ostruzione transitoria o permanente del deflusso della bile, possono comparire i seguenti sintomi:
1. Colica biliare: dolore intenso e crampiforme localizzato nella parte superiore destra dell’addome o all’epigastrio.
Il dolore può irradiarsi alla schiena o alla spalla destra.
Spesso si verifica dopo pasti abbondanti e ricchi di grassi.
Il dolore può durare da pochi minuti a diverse ore.
2. Nausea e vomito
3. Difficoltà digestiva e sensazione di pesantezza post-prandiale
4. Ittero (colorazione gialla della pelle e delle sclere oculari): può verificarsi se un calcolo ostruisce il dotto biliare comune.
Diagnosi
La diagnosi di calcolosi della colecisti si basa su una combinazione di storia clinica, esame fisico e indagini strumentali. Gli esami più comuni per confermare la presenza di calcoli biliari sono:
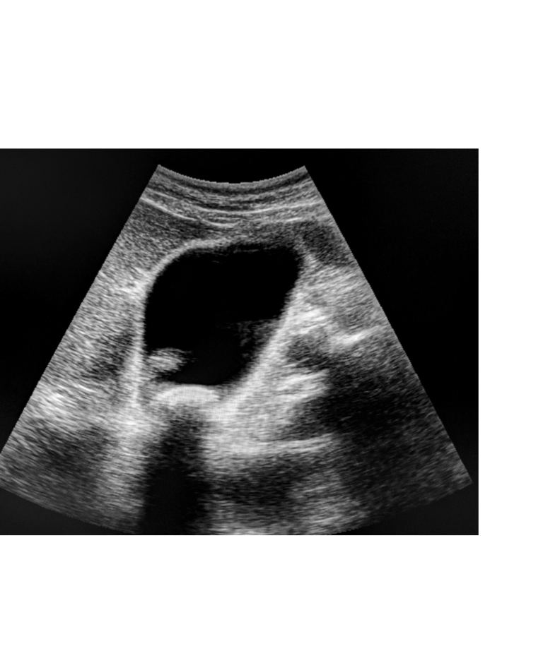
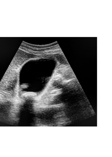
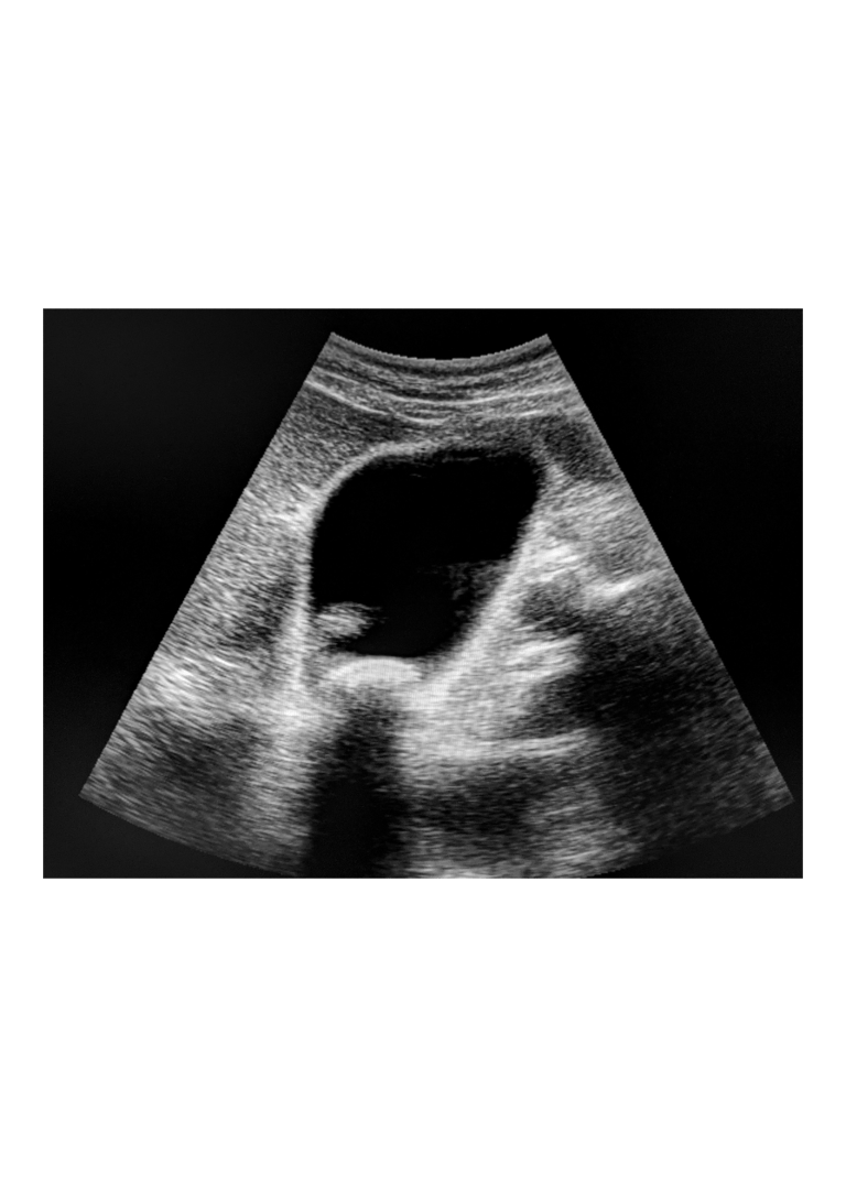
Ecografia addominale: è il metodo diagnostico di prima scelta per visualizzare i calcoli all'interno della colecisti. È non invasiva, veloce ed efficace.
Tomografia computerizzata (TC): può essere utilizzata per visualizzare calcoli più grandi o complicazioni associate.
Risonanza magnetica (RM) e colangiopancreatografia (CPRE): può essere utile in caso di sospetta occlusione dei dotti biliari.
Esami del sangue: possono essere utili per rilevare segni di infezione o infiammazione, come l'aumento dei globuli bianchi o dei livelli degli enzimi epatici.
Trattamento
Il trattamento della calcolosi della colecisti dipende dalla gravità dei sintomi e dalle complicazioni. Le opzioni terapeutiche più comuni includono:
Trattamento conservativo: Se i calcoli biliari non causano sintomi (calcolosi asintomatica), non è necessario un trattamento immediato. Tuttavia, il medico potrebbe consigliare modifiche dello stile di vita, come una dieta povera di grassi, per prevenire episodi di dolore.
Farmaci: In alcuni casi, i farmaci possono essere utilizzati per dissolvere i calcoli biliari, ma questi trattamenti sono generalmente meno efficaci e richiedono molto tempo (mesi o anni).
Chirurgia: La soluzione definitiva per la calcolosi della colecisti è la colecistectomia, ossia l'intervento chirurgico di rimozione della colecisti.
Trattamenti endoscopici: Se i calcoli biliare sono bloccati nei dotti biliari, può essere necessario un intervento endoscopico per rimuoverli.
Cause
Le cause della formazione dei calcoli biliari non sono completamente comprese, ma si pensa che siano legate a una combinazione di fattori genetici, ambientali e alimentari. Le principali cause della calcolosi della colecisti includono:
Eccesso di colesterolo nella bile: quando la bile contiene troppo colesterolo, questo può cristallizzare e formare calcoli. L'eccesso di colesterolo nella bile può essere causato da una dieta ricca di grassi, da disturbi del metabolismo lipidico o da obesità.
Bassa concentrazione di bile salina: la bile deve contenere una certa quantità di bile salina per dissolvere il colesterolo. Una carenza di questa sostanza può favorire la formazione di calcoli.
Infezioni o infiammazioni della colecisti: possono alterare la composizione della bile e promuovere la formazione di calcoli.
Predisposizione genetica: la calcolosi biliare può essere ereditaria e colpire più frequentemente i membri di una stessa famiglia.
Obesità e diabete: l'eccesso di peso e il diabete sono fattori di rischio ben documentati per la formazione di calcoli biliari. Entrambi sono associati a disfunzioni nel metabolismo dei grassi e alla produzione di bile.
Cambiamenti ormonali: le donne in gravidanza o quelle che assumono contraccettivi ormonali sono più suscettibili alla calcolosi biliare, poiché gli estrogeni possono alterare la composizione della bile.
Intervento chirurgico: Colecistectomia


80.000 - 100.000
1-2%
tasso complicanze
procedure annue in Italia
La colecistectomia è indicata nei seguenti casi:
Calcolosi della colecisti (calcoli biliari): quando i calcoli presenti all'interno della colecisti causano dolore ricorrente (coliche biliari), infezioni o altre complicazioni come la colecistite (infiammazione della colecisti).
Colecistite acuta o cronica: infiammazione della colecisti che può essere associata a infezioni e che, se non trattata, può evolvere in complicazioni gravi.
Colangite: infezione dei dotti biliari che può essere causata dall'ostruzione di uno di essi da parte di un calcolo.
Pancreatite acuta: infiammazione del pancreas, che può essere provocata da calcoli biliari che ostruiscono il dotto pancreatico.
Esistono due principali tecniche per eseguire la colecistectomia:
Colecistectomia laparoscopica: è la tecnica chirurgica di scelta per la maggior parte dei pazienti. L'intervento viene eseguito tramite piccole incisioni nell'addome (generalmente da 3 a 4), attraverso le quali vengono introdotti strumenti chirurgici e una telecamera che consente al chirurgo di visualizzare l'area da trattare. Questo approccio minimamente invasivo riduce il rischio di infezione, il dolore post-operatorio e i tempi di recupero, consentendo ai pazienti di tornare a casa generalmente entro 2 giorni e riprendere le normali attività in una o due settimane.
Colecistectomia aperta: in alcuni casi, quando la colecistectomia laparoscopica non è possibile (ad esempio a causa di complicazioni come un'infezione grave o aderenze), può essere necessaria una colecistectomia tradizionale a cielo aperto. Questo tipo di intervento richiede un'incisione più ampia nell'addome, comportando una convalescenza più lunga (da 3 a 5 giorni di ricovero e un recupero che può durare da 4 a 6 settimane).
L'intervento di colecistectomia viene eseguito sotto anestesia generale, il che significa che il paziente sarà completamente addormentato durante la procedura. Ecco i passaggi principali:
Preparazione: Il paziente viene collocato in posizione supina (sdraiato sulla schiena) e l'area addominale viene pulita e sterilizzata.
Incisioni: Nel caso della laparoscopia, il chirurgo pratica piccole incisioni nell'addome. Attraverso queste incisioni, vengono introdotti gli strumenti chirurgici e una telecamera per visualizzare l'area. Se si tratta di un intervento aperto, viene effettuata un'incisione più grande nell'addome.
Rimozione della colecisti: Il chirurgo identifica la colecisti e la separa dai tessuti circostanti. Successivamente, il dotto cistico e l'arteria cistica che la collegano al fegato vengono sezionati e cauterizzati. La colecisti viene quindi rimossa.
Conclusione dell'intervento: Dopo la rimozione della colecisti, il chirurgo verifica eventuali sanguinamenti o altre anomalie. Nel caso della laparoscopia, le incisioni sono molto piccole, quindi la cicatrice finale è generalmente discreta.
Il recupero dopo una colecistectomia dipende dal tipo di intervento eseguito:
Dopo colecistectomia laparoscopica: I pazienti generalmente possono tornare a casa entro 1-2 giorni dall'intervento. Il dolore post-operatorio è solitamente minimo e controllato con farmaci antidolorifici leggeri. La maggior parte dei pazienti può riprendere le normali attività quotidiane, come lavorare o fare esercizio fisico, entro 1-2 settimane.
Dopo colecistectomia aperta: Il ricovero ospedaliero può durare 3-5 giorni, con un recupero completo che può richiedere fino a 4-6 settimane.
Dopo l'intervento, la bile prodotta dal fegato non è più immagazzinata nella colecisti, ma fluisce direttamente nell'intestino tenue. Questo non impedisce la digestione dei grassi, ma alcuni pazienti potrebbero avvertire lievi disturbi digestivi, come diarrea o sensazione di gonfiore, soprattutto dopo pasti abbondanti o ricchi di grassi. Questi sintomi tendono a migliorare nel tempo, mentre l'organismo si adatta alla nuova modalità di digestione.
Sebbene la colecistectomia sia generalmente un intervento sicuro, esistono alcuni rischi, tra cui:
Infezione: che può colpire le ferite chirurgiche o l'addome.
Sanguinamento: in rari casi, possono verificarsi emorragie durante o dopo l'intervento.
Lesioni ai dotti biliari: che, se non trattate prontamente, possono causare gravi complicazioni.
Trombosi venosa profonda o embolia polmonare: soprattutto nei pazienti a rischio, che possono sviluppare coaguli di sangue post-operatori.
La colecistectomia è una procedura chirurgica ampiamente utilizzata ed efficace per trattare i problemi legati alla colecisti, come la calcolosi biliare. Grazie ai progressi nella chirurgia laparoscopica, l'intervento è diventato meno invasivo, con minori tempi di recupero e meno complicazioni. Sebbene l'intervento comporti alcuni rischi, la maggior parte dei pazienti sperimenta un significativo miglioramento della qualità della vita dopo l'operazione, senza effetti negativi a lungo termine.
Fonti scientifiche principali
Wijffels NA et al. Treatment of rectal prolapse in adults: current practice and future prospects. Colorectal Dis. 2013.
Altomare DF, et al. SICCR consensus statement on surgery for complete rectal prolapse. Tech Coloproctol. 2015.
WSES Guidelines: Diagnosis and treatment of rectal prolapse in adults. World J Emerg Surg. 2020.
National Institute for Health and Care Excellence (NICE) – https://www.nice.org.uk

Quando consultare un medico?
Se avverti dolore addominale, nausea, febbre, ittero o cambiamenti nelle abitudini intestinali, non aspettare!
Contattami


Se hai domande e curiosità, compila il modulo!
Chirurgia per Tutti
Informazioni su patologie e prenotazioni visite.
Contatti
Scrivimi!
info@chirurgiapertutti.it
+39 3404155536
© 2025. All rights reserved.
